Μαγνητική τομογραφία
Η μαγνητική τομογραφία αποτελεί μία σύγχρονη εξέταση που έχει σώσει εκατομμύρια ασθενείς.
Ο τομογράφος χρησιμοποιώντας το φαινόμενο του μαγνητικού συντονισμού των μορίων νερού και σύγχρονα υπολογιστικά συστήματα δημιουργεί εικόνες εγκάρσιες, επιμήκεις και 3D του ανθρώπινου σώματος.
Στα διαγνωστικά κέντρα Ιατροδιάγνωση χρησιμοποιούνται υπερσύγχρονoi μαγνητικοί τομογράφοι υψηλού μαγνητικού πεδίου (1,5T) του Αμερικανικού οίκου GE, εξασφαλίζοντας υψηλή ευκρίνεια και ακρίβεια εικόνας.
O μαγνητικός τομογράφος με τον μεγάλο αριθμό καναλιών που διαθέτει, την μεγάλη διάμετρο (wide bore),το μικρό μήκος μηχανήματος, τα σύγχρονα συστήματά και το εξειδικευμένο προσωπικό επιτυγχάνεται ο μειωμένος χρόνος εξέτασης, η άνεση και η υψηλή ακρίβεια.
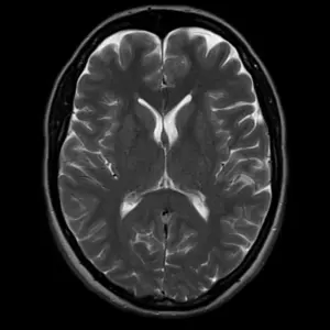
Σε αυτή την εξέταση απεικονίζεται με τη χρήση ή χωρίς σκιαγραφικού μέσου το παρέγχυμα ,τα οστά και όλες οι δομές του εγκεφάλου των νεύρων και του νωτιαίου μυελού διαγιγνώσκοντας παθήσεις όπως υδροκεφαλία, ριζίτιδες, όγκους κ.α.
Απεικονίζεται η νευρωνική δραστηριότητα του εγκεφάλου μέσω των αιμοδυναμικών αντιδράσεων αυτού. Με αυτό τον τρόπο καθώς και με την δεμιτογραφία (DIT) ελέγχονται κέντρα που ελέγχουν την ομιλία, την μνήμη και την κίνηση γι’αυτό πολλές φορές ο ασθενής συμμετέχει στην εξέταση ακολουθώντας οδηγίες (π.χ. ανασ;hκωση χεριού κ.α.)
Eλέγχεται η μεταβολική δραστηριότητα του εγκεφάλου. Αποτελεί σημαντικό εργαλείο για όγκους, απομυελυνωτικές εστίες κ.α.)
Χρησιμοποιείται για τον έλεγχο οργάνων όπως ήπαρ, σπλήνα, νεφροί, πάγκρεας, χοληδόχος κύστη με στόχο την ανάδειξη παθήσεων π.χ. όγκοι, λιθιασικά στοιχεία, φλεγμονές κ.α.
Με την εξέταση αυτή γίνεται η ακριβής απεικόνιση κυρίως του ουρογεννητικού συστήματος (θήλυ/άρρεν) που περιλαμβάνει τα έσω γεννητικά όργανα, την ουροδόχο κύστη, μέρος των ουρητήρων κ.α.
Χρησιμοποιώντας τους υπερσύγχρονους μαγνητικούς τομογράφους μας καθίσταται δυνατή η ακριβής απεικόνιση (σε διατομές και 3D) των αγγείων του σώματος αορτή, εγκεφάλου, μηριαίων κ.α, τον έλεγχο ροής του αίματος σε αυτά με σκοπό την διάγνωση ανευρυσμάτων, στενώσεων και άλλων παθολογιών.
Με αυτή την εξέταση δίνεται η δυνατότητα διερεύνησης αλλοιώσεων που συνήθως έχουν ανευρεθεί σε μαστογραφικό έλεγχο ή υπέρηχο μαστών. Ελέγχεται η πρόσληψη (ή όχι) σκιαγραφικού μέσου των αλλοιώσεων, ο τρόπος με τον οποίο γίνεται αυτός, καθώς και η μορφολογία αυτών .Ύποπτα ευρήματα σημειώνονται στον κλινικό ιατρό προς αντιμετώπιση τους.
Πρόκειται για μια εξέταση που βοηθά στην διάγνωση, σταδιοποίηση και παρακολούθηση ασθενών με καλοήθη υπερπλασία του προστάτη αδένα ή νεοπλάσματα αυτού. Στην περίπτωση που χρειάζεται η διενέργεια βιοψίας μας βοηθά να εντοπίσουμε ύποπτες περιοχές και η λήψη ιστού να πραγματοποιηθεί με ακρίβεια.








